今天,
“姑娘清理发霉衣柜肺部长霉菌”
的话题冲上热搜第一
引发网友热议


事情是这样的
家住杭州的王女士(化名)
怎么也没想到
自己只不过在家打扫了卫生
居然住进了医院
一查肺部竟然“发霉”了
反复高烧,硬抗3天
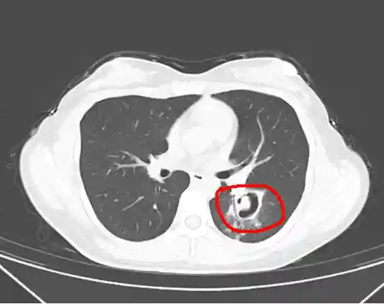
肺部长出一个个“小树芽”
一周前,家住杭州的王女士(化名)出现咳嗽、乏力,还发热。
刚开始,她以为是普通的感冒,自己在家吃点退烧药就行,没想到扛了三天却仍然反复高热,最高到了40℃。
朋友一看不妙,赶紧将她送往医院。
接诊医生从肺部CT上发现,王女士的肺部长出了一个个“小树芽”,怀疑是霉菌性肺炎。

霉菌为何会长进肺里?
她想起来一个细节
一个月前,王女士发现家中衣柜出现霉斑,便对发霉的部位做了清扫,但没有做好防护。
清扫之后,她就出现阵发性咳嗽,但是程度比较轻微,所以未引起重视。
为了进一步确诊病情,周翔为王女士做了纤维支气管镜检查,果然发现气道壁上缀着大量白色菌斑,化验后确认是曲霉菌。
医生判断,这些灰尘中很有可能混入了各种霉菌。王女士平时喜欢昼夜开窗通风,正值南方五月份气候回暖,阴雨不断,空气潮湿是利于霉菌生长的天然条件。霉菌在人体内可引发肺部、口腔、皮肤甚至全身感染。
小小霉菌
可能让你的呼吸道“发霉”
霉菌性肺炎离我们有多远?
有不少网友表示,
第一次听到这种病……





其实,随手一搜,
可以发现真实案例并不少,比如:
大扫除后,中招了——

打扫储藏间后,中招了——

整理长霉衣物后,中招了——


上述场景,我们都再熟悉不过,
尤其是地处潮湿的南方,
特别容易滋生霉菌。
但其实不用太焦虑,
现已知自然界中的霉菌有3万多种,
上热搜的曲霉菌,
确实可能“入侵”动物和人体,
参与肺部真菌病的发病过程。
但是,曲霉菌是一种条件致病菌,
也就是说,
特定的人群处于曲霉菌的环境中
就容易感染,
比如:
长期使用免疫抑制剂人群
恶性肿瘤患者、化疗患者
有血液系统肿瘤或造血干细胞移植的患者
肺部基础结构遭到破坏的人群
长期使用、依赖抗生素的人群
老年人
重症监护病房患者
本身存在基础疾病的人群,如慢阻肺、肝硬化、糖尿病、慢性肾脏病等
而免疫正常人群在免疫屏障保护下,
一般不会感染曲霉菌。
不过,即使是没有基础性疾病、
免疫力正常的健康人,
在受凉、疲劳、感冒等情况下
患上肺真菌病的风险也会增加。
致敏、致感染、致癌……
霉菌的危害超出你想象
霉菌感染导致的肺炎,
临床症状往往并不典型,
常见如咳嗽、发热、胸闷等,
很容易和流感、感冒等混淆。
除了导致霉菌性感染等疾病,
霉菌通过皮肤接触、呼吸道吸入、
食物摄入等途径进入人体,
破坏免疫系统,
还会使人出现皮肤过敏、哮喘等疾病,
严重的甚至可能导致癌症。
霉菌“家族”中,
大约有200多种霉菌可致癌,
比如黄曲霉菌产生的黄曲霉毒素B1,
其毒性是砒霜68倍!
而孕妇如果长期生活在
霉菌数量较多的环境里,
胎儿畸形或流产的风险大大增加。
作为一种常见过敏原,
霉菌在南方地区尤为常见。
有过敏史的人群,
吸入一定量霉菌孢子或菌丝,
随着霉菌浓度升高、吸入量增多,
病症会逐渐加重;
而没有过敏史的人群也应警惕,
逐步吸入大量霉菌,
也可导致霉菌过敏性哮喘突然发作。
专家介绍,
从诱因来看,
霉菌成为儿童过敏性哮喘的重要诱因,
甚至超过了尘螨。
家中这些发霉“重灾区”
最容易被忽略
有生活经验人都知道
在什么位置最容易发现霉菌:
马桶、洗手池、浴帘、毛巾……
除此之外,
霉菌还活跃在一些
让人意想不到的地方……
1
卫生间
卫生间满足了霉菌对于“美好家园”的所有“幻想”——潮湿、温暖、阴暗。
这样应对:
清洁卫生间,从相对干净的地方清洁起,如先整理洗脸池、台面,再清洁浴缸,然后清洁马桶,最后再做地面清扫,避免“污染交叉感染”。
清除室内霉菌,可以使用经稀释的消毒水,或3%的过氧化氢,或水与白醋按照1:1调配,或专业的溶菌酶、除霉剂进行清洁。
2
冰箱
冰箱温度低,还不得把霉菌冻死?
没想到吧,霉菌的孢子生命力极其顽强,即使在零下10°C的换季,孢子也不会死亡,等到温度上升,它就立马恢复繁殖活力。
冰箱最容易被忽略的藏污点就是冰箱门,尤其是门上的密封橡胶条处,容易藏大量细菌如链格孢、青霉、黄曲霉、烟曲霉等。

这样应对:
用吸水性强的纱布或纸绕在叉子上,蘸一蘸酒精或专门的除霉剂,沿着冰箱门缝隙擦拭清除霉菌。另外,冰箱里坏了的食物也要及时清理。
3
洗衣机
洗衣机的桶身也是霉菌的“温床”——恒温、潮湿且卫生死角多,尤其容易聚集在滚筒洗衣机的门圈胶皮层、内筒、洗涤剂盒、排水管等位置。
这样应对:
建议定期使用桶自洁功能,并请专人拆洗内筒。
4
空调、加湿器
长期未拆洗的空调散热片,霉菌总数不容忽视,空调吹出的风携带病菌进入人体呼吸道,便有可能引发感冒、肺炎等呼吸系统疾病。
加湿器内的水如果不定期更换,也容易滋生霉菌。此外,如果室内空气湿度过高,更能促进霉菌的繁殖。
这样应对:
在换季开空调之前,清洁一下空调滤网。另外,不建议整天开着加湿器,要定期更换干净的水。
5
绿植
水培植物的保鲜离不开水,再加上其根茎大多有切口,一旦腐烂就极易成为霉菌的栖身地。
而盆栽植物如果长期放在不通风的地方,土壤潮湿,加上人工定期施肥,都是在给霉菌创造生长环境。
这样应对:
尽量别在封闭阳台养绿植,如要在室内放置绿植,需保证室内通风。霉菌过敏人群尽量少养绿植。
此外,
如果肉眼没有发现小霉点,
也可以从几个方面来揪出霉菌的“踪迹”:
①屋内闻到霉味,说明霉菌孢子在漂浮;
②毛巾有馊味、变得黏腻;
③家里的油炸、油脂食物,暴露在空气中一会就颜色变深、闻起来一股“口水味”,也可能是空气中霉菌多的表现;
④出现不敏原因的鼻塞、流泪、打喷嚏,可能是霉菌孢子诱发呼吸道过敏。
最后,
平时注意锻炼身体,
养成良好生活习惯,以增强免疫力,
要注意个人卫生和环境卫生,
保持室内通风干燥,
避免接触可能污染的物品,
清除霉菌的时候注意戴口罩,戴手套,
不要给有害的霉菌“可乘之机”。
综合:健康杭州、健康有约、网友评论























